Wauwatosa Crowns and Bridges
Porcelain Crowns
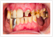
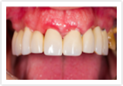
Applied Procedures: Porcelain Crowns
P23601_ss9120bs_t P23601_ss9120ys_t
Before Photo After Photo
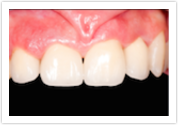
Applied Procedures: Porcelain Crowns
P23601_ss9121bs_t P23601_ss9121ys_t
Before Photo After Photo
Applied Procedures: Porcelain Crowns, Dental Bridges
P23601_ss9122bs_t P23601_ss9122ys_t
Before Photo After Photo